Servicios / Radiodiagnóstico
jueves, 28 noviembre, 2024
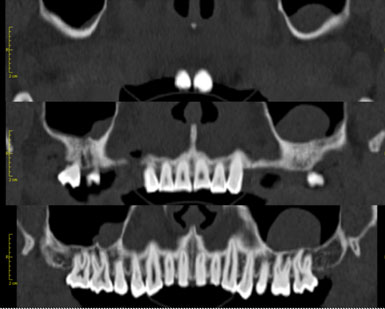
TAC DENTAL
El tac dental es una prueba diagnóstica por imagen, obtenida mediante el uso de rayos X.
Galería de fotos relacionadas
Este estudio dental genera reconstrucciones en múltiples planos de mandíbula, maxilar superior y piezas dentarias. Ofrece grandes ventajas con respecto a los estudios radiográficos dentales convencionales como la radiografía intraoral, la ortopantomografía y la cefalometría lateral.
Las ventajas más importantes de este sistema de imagen son:
- Permitir la evaluación de múltiples zonas bucales en un único estudio
- Ofrecer alta definición de imágenes sin superposición con otras estructuras anatómicas
- Ofrecer la posibilidad de reconstrucción multiplanar en 2D y en 3D
- La magnificación es despreciable y uniforme
- Permitir medidas precisas
- Posibilitar la densitometría ósea de la zona
El motivo más común para solicitar un tac dental es la evaluación prequirúrgica del implante dental. Aunque también puede prescribirse en el seguimiento de la evolución del implante y en el diagnóstico de enfermedades de mandíbula y maxilar superior.
En el campo de la implantología, si la ortopantomografía obtenida previamente no es concluyente para valorar la viabilidad y las características del implante, el tac dental ofrece al odontólogo la mayor precisión de anatomía dentaria y de calidad del hueso subyacente, permitiendo así decidir la viabilidad, las dimensiones y la posición final del implante. Entre otros parámetros, el TC dental permite valorar aspectos fundamentales para el odontólogo en el estudio anterior al implante, como son:
- La calidad y cantidad de hueso disponible
- La anchura y altura de los arcos dentales
- La inclinación del contorno óseo
- La presencia de discontinuidades óseas
- Evidencias de anatomía atípica
- La presencia de patología
- La localización exacta de determinadas estructuras anatómicas, como por ejemplo, senos maxilares, canales mandibulares, agujeros mentonianos, agujeros mandibularesâ&
El punto débil más importante del TC dental respecto a los estudios radiográficos dentales convencionales, es la dosis efectiva al paciente.

*Datos obtenidos del estudio: Victoria University of Manchester. Radiation Protection 136. European guidelines on radiation protection in dental radiology. Luxemburg: European Commission, 2004. http://ec.europa.eu/energy/nuclear/radiation_protection/doc/publication/136.pdf
**El fondo medio de radiación natural en España es de 2,5 mSv/año, según el CSN: http://www.csn.es/index.php/es/especiales/accidente-en-fukushima-japon/preguntas-y-respuestas-de-interes-para-los-ciudadanos

